您现在的位置是:首页 > 成功案例

试管婴儿成败的关键

试管快通站 2024-11-13【成功案例】280人已围观

简介有人做过20几次试管婴儿,但是每次的结果都是从天堂到地狱的感觉,没有一次成功的,这样的煎熬好几年,再有耐心的夫妻也可能会产生隔阂,甚至有些夫妻的感情经不起一次次的磨耗,最后离了婚。毕竟钱花了,可是最后都没有效果,多次的打击都是吃不消的。胚胎植入是试管婴儿成功的关键步骤,接受试管婴儿治疗的过程相当复杂...

有人做过20几次试管婴儿,但是每次的结果都是从天堂到地狱的感觉,没有一次成功的,这样的煎熬好几年,再有耐心的夫妻也可能会产生隔阂,甚至有些夫妻的感情经不起一次次的磨耗,最后离了婚。毕竟钱花了,可是最后都没有效果,多次的打击都是吃不消的。

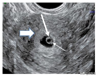
胚胎植入是试管婴儿成功的关键步骤,接受试管婴儿治疗的过程相当复杂;当受精卵成功发育成胚胎时,如何准确将胚胎顺利植回母体子宫腔内使之在子宫内膜成功着床,特别关键。专家说,胚胎植入需要靠胚胎技术员及临床医师的共同努力,没有健康的胚胎,胚胎植入必然会失败,同样的,如果胚胎植入时受到外伤,纵使胚胎技术员维持胚胎良好的状况也是无用的。因此若患者条件良好,拥有好的着床环境及顶级胚胎,可说已成功一半,要是能顺利完美的植入胚胎,则更接近成功。

沈阳试管婴儿的成功率

试管婴儿的成功率取决于多方面因素,如病人的内分泌情况、实验室的条件,技术人员的技术水平,以及病人的年龄、子宫、卵巢的条件等,这些都会影响到试管婴儿的成功率。尤其是年龄问题,是一个很大的影响因素。据研究表明,25岁~35岁的女性,试管婴儿的成功率高于30%~40%,有一些医院甚至可以高达到50%~60%,但是35岁以后,成功率就会逐渐的下降,至40岁以后降至20%左右,因为年龄越大,卵子的质量都处于走下坡的状态,身体的健康状况也不例外。

如果用冷冻卵子的技术来培养试管婴儿,成功率还会更低一些,因为卵泡里面含有大量的液体,在冷冻的过程之中容易形成冰晶,伤害到卵细胞内的组织结构,使成功率更低。

试管婴儿技术要花多少钱

专家指出,试管婴儿成功的四大基石是:完美的诱导卵巢排卵计划、质量良好的胚胎、良好的子宫内膜准备、完美的胚胎植入。一旦胚胎都已培养到完美的好胚胎,则一个完美的胚胎植入术,可以说试管婴儿成功的临门一脚,十分重要。但是很多时候,过程当中无法达到这么理想的状态。

试管婴儿技术,平均约有1至5%的试管授精会发生无可预期的完全不受精,当然也就没有胚胎可供植入,也就是失败的结果。这通常就是因为男方的精子质量比较差,而通过单一精虫显微授精(ICSI)技术,则可以克服8、9成的试管不授精,所以一旦发生上述的不受精现象时,可以在下一次人工生殖,改采单一精虫显微授精,绝大多数的病人就可以解决不受精的问题。虽然单一精虫显微授精是相当普遍的,但是自然费用就要比其他的要多,因此如果有需要的可以做,如果不需要的话就没必要盲目做。

很赞哦!(155)