您现在的位置是:首页 > 试管备孕健康
试管双胞胎的过程是怎样
试管快通站
2025-09-25【试管备孕健康】255人已围观
简介那么,试管双胞胎的培育过程是怎样的呢?跟试管单胎的过程不一样吗?生下双胞胎固然是件好事,但这对母亲和婴儿都会有风险试管婴儿双胞胎和单胎的过程是一样的,只是在胚胎移植的时候可能会多移植1~2个胚胎。但是必须要知道的是,试管婴儿并不是你想要几胎都可以实现的,医生会按照您的身体情况来做评估,如果您是子宫环...
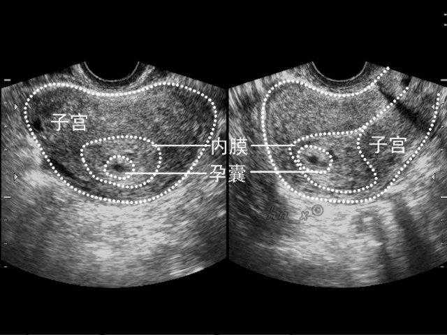
那么,试管双胞胎的培育过程是怎样的呢?跟试管单胎的过程不一样吗?
生下双胞胎固然是件好事,但这对母亲和婴儿都会有风险
试管婴儿双胞胎和单胎的过程是一样的,只是在胚胎移植的时候可能会多移植1~2个胚胎。但是必须要知道的是,试管婴儿并不是你想要几胎都可以实现的,医生会按照您的身体情况来做评估,如果您是子宫环境放两个是最好的,那医生绝对不会帮您放三个,如果不根据身体情况来放置胚胎的个数,那就很容易弄巧成拙。
因为并不是每个人都是适合怀双胞胎的,是否能怀双胞胎是需要根据子宫大小、子宫内膜各方面情况才能决定的。因为有些子宫小、身体差的人怀即使怀上双胎,医生也有可能会建议减胎,因为怀双胞胎可能会威胁到母体的健康。
很赞哦!(148)
上一篇:输卵管积水能做试管婴儿吗?
下一篇:试管婴儿对父母的要求