您现在的位置是:首页 > 知名专家
让孕妈头大的孕期B超图怎么看?解孕妈烦恼,图文详解来了
试管快通站
2025-07-27【知名专家】57人已围观
简介有很多老人感慨说:“为什么现在怀孕要做那么检查?”很多孕妈虽然明白孕期检查的重要性,但可能不明白做孕期检查,子宫内胎儿发育状况。下面来为可爱的孕妈们揭示宝宝在腹中到底是怎样一步步发育的我们知道,早孕期超声检查时间是孕5~13+6周;包括早孕期普通超声检查和孕11~13+6周胎儿超声检査。(一)早孕期...
有很多老人感慨说:“为什么现在怀孕要做那么检查?”很多孕妈虽然明白孕期检查的重要性,但可能不明白做孕期检查,子宫内胎儿发育状况。下面来为可爱的孕妈们揭示宝宝在腹中到底是怎样一步步发育的
我们知道,早孕期超声检查时间是孕5~13+6周;包括早孕期普通超声检查和孕11~13+6周胎儿超声检査。
(一)早孕期普通超声检查①检査目的:证实宫内妊娠,了解胚胎是否存活,估测孕周,诊断多胎妊娠及判断绒毛膜性,寻找阴道出血原因,评估母体子宫、附件情况,评估临床可疑异常妊娠(如异位妊娠、葡萄胎等),辅助绒毛活检。
②检查方式:经腹部及经腔内超声检查为主,必要时结合会阴部超声检査,遇患者充盈膀胱困难、肠腔气体干扰明显、孕妇肥胖等情况,推荐经阴道超声。
③检査内容:观察妊娠囊的位置、数目、大小观察卵黄囊的大小与形态;测量胚胎长度、观察胎心搏动情况:观察孕妇宫腔形态及肌层:子宫瘢痕与妊娠囊的关系,双侧附件有无包块。
(1)妊娠囊超声显示最早期的妊娠囊为极小的圆形无回声区,周边为发育的绒毛形成的均勺高回声环。随着妊娠进展,绒毛与子宫蜕膜形成特征性的“双环征”(下图)。经腹部超声在孕5~6周发现,经腔内超声在孕4~5周发现。

孕38天,经腔内超声检查显示“双环征”(粗箭头)、孕囊、卵黄囊(长箭头)及胎芽(细箭头)随着孕周増加。
妊娠囊可为椭圆形、不规则形等需与假妊娠囊(宫腔积液)鉴别,宫腔积液无“双环征”,形态与宫腔一致,位于宫腔中央,周边强回声为分离的子宫内膜。
妊娠囊常位于宫腔中上份,注意识别宫角妊娠、切口妊娠等异常位置妊娠囊。
当人绒毛膜促性腺激素(HcG)阳性,宫内未见妊娠囊时可能为孕周太小妊娠囊显示不清、异位妊娠、流产、生化妊娠等;当怀疑异位妊娠时,推荐行经腔内超声检查,注意双侧附件情况。
(2)卵黄囊:妊娠囊内第一个能观察到的结构是卵黄囊,发现卵黄囊即可确认妊娠。卵黄囊是圆形线状强回声,内充满液体。经腔内超声检査,孕5周左右显示卵黄囊:经腹部超声检査,孕6周左右显示卵黄囊(下图)。卵黄囊直径3~8mm,卵黄囊过大(直径10mm)或过小(直径3mm)或变形、内部出现强回声等,预示妊娠结局差。

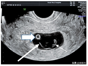
孕7周,经阴道超声检查显示卵黄囊(粗箭头)羊膜(长箭头)、胎芽(细箭头)、妊娠囊

孕8周,经腹部超声图像卵黄囊(粗箭头)、羊膜(长箭头)、胎芽(细箭头)
(3)胎芽及心管搏动胎芽,最早在2m时可见到原始心管搏动,为卵黄囊一侧稍增厚的结构。胚胎长4~5m,常规检出原始心管搏动,通过M型超声测得胎心搏动频率,孕6周时约100次/分,孕9周180次/分,孕14周140次/分。若胚胎长度≤5m,未能观察胎心搏动,需7天后复査。
(4)胚胎发育孕7~8周,胚胎长出肢芽,超声为一棒状结构,孕8周胚胎初具人形。孕9周,出现生理性中肠疝,孕11~12周消失,生理性中肠疝由于肠袢生长速度稍快于腹壁生长速度压迫肠袢进入脐带内,通常直径不超过7m。孕10周,胚胎具人形。

孕10周,经阴道超声检查显示胚胎已具人形
(5)头臀长检査及测量全面扫査妊娠囊,观察胚胎及数目,胚胎最大长轴切面或在胎儿正中矢状切面测量头臀长,胎儿自然伸展姿势。
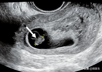
孕8周,经腔内超声检查,胎芽长2.6cm
(6)胚胎停育经腔内超声检査胚胎长度≤5mm,7~10天后复查仍无心管搏动:或胚胎长度5mm,无心管搏动;或妊娠囊平均内径20mm,内未见卵黄囊、胎芽,可诊断胚胎停育。经腹部超声检査胚胎长度≤9m无心管搏动,7~10天后复查仍无心管搏动;或胚胎长度9m,未能观察胎心搏动;或妊娠囊平均内径25mm,未见卵黄囊、胎芽,可诊断胚胎停育。

孕9周,经腔内超声检查,胎芽长0.97cm,未见胎心搏动,胚胎停止发育
(7)羊膜囊,羊膜纤细菲薄(0.02~0.05m),超声可在绒毛膜腔内胚胎的一侧发现膜状结构围成囊状,胚胎则位于羊膜囊内,另一侧为卵黄囊。孕12~16周羊膜与绒毛膜融合。(8)胎盘底蜕膜和致密绒毛膜共同构成胎盘。超声最早见到的是妊娠囊周围的绒毛膜环,为稍强回声。孕8周超声能显示胎盘,孕10~12周可以清晰显示胎盘,为月形结构。孕妈们可根据以上详细内容,对照自己的怀孕周期,评估自身情况哟~
很赞哦!(22)
上一篇:月经几个月不来是什么原因
下一篇:体外受精和试管婴儿的区别